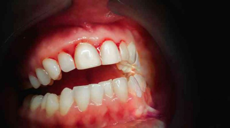
Diş eti kanaması nedir?
Diş eti kanaması, genellikle gingivitis olarak adlandırılan diş eti iltahabı hastalığının belirtisidir.Ağız içini en çok etkileyen rahatsızlıklardandır. Diş ile diş eti arasında tartar vb gibi birikimlerin oluşması sebebiyle oluşur. Diş eti kanamalarının diğer bir sebebi ise, ağız hijyeni uygulamalarını sırasında yapılan yanlış davranışlardır.
Diş eti kanamasının nedenleri?
- -Çok sert diş fırçalama
- -Sert diş fırçası kullanma
- -Yanlış diş ipi kullanımı
- -Kürdan kullanımı
- -Sigara
Gibi hatalı uygulamalar olabileceği gibi bazı kronik rahatsızlıkların da belirtisi olabilir. Bunlar;
- -C veya K vitamini eksikliği
- -Kötü beslenme
- -Kalp hastalığı
- -Diyabet
- -Lösemi
- -HIV
- -Diğer bazı sistemik rahatsızlıklar
Diş eti kanaması nasıl tedavi edilir?
Yapılan araştırmalara göre her 4 kişiden 3’ü hayatının belli bir döneminde diş eti kanaması yaşamış durumdadır. Dişlere doğru bakım yapılmaması sonucunda tutucu kemiklerde erime ve ilerleyen dönemde diş kayıplarına zemin hazırlayabilir.
Öncelikle hastalığın sebebinin bulunup tedavi planlaması yapılmalıdır. Eğer altta yatan kronik rahatsızlıklar yok ise dental olarak tedaviye başlanmalıdır. Ağız içi hijyeni iyi değil ise diş doktoru tarafından diş taşı temizliği ve diğer dental tedavilerin tamamlanması gerekmektedir. Diş plağı oluşumunu engellemek amacı ile düzgün ağız hijyeni uygulamaları yapılmalıdır. Bu noktada diş hekimi tavsiye lerine uymak çok önemlidir.
Diş eti kanamasını önlemek için yapılması gerekenler
Günde en az iki kere doğru diş fırçalama işlemi yapılmalıdır. Diş ipi kullanımı ve gargara kullanımı da oldukçe önemlidir. Diş fırçalarken dikkat edilmesi gerekenler;
- -Diş fırçalama yapılırken fırça fazla bastırılmamalı.
- -Sağlıklı dişetlerinde sert fırça, kanayan dişetlerinde ise yumuşak fırça kullanılmalı. Bu konuda diş hekimi tavsiyesi size yol gösterici olacaktır.
- -Fırçalama sırasında kan dolaşımına yardımcı olması için diş etine de masaj yapılmalı.
- -Diş macunu çok kullanılmamalı.
- -Fazla macun kullanımı diş etlerine zarar verebilir.
- -Fırçalama sırasında diş etinden dişe doğru uygulama yapılmadır. Yani pembeden beyaza yöntemi uygulanmalıdır.
Diş Hekimi Bursa
Diş Hekimi Bursa, Kliniğimizde ücretsiz olaran hekim kontolü sırasında doğru ağız hijyeni uygulamaları hakkında bilgi alabilirsiniz. Randevu talepleriniz için iletişim bölümümüze bakabilirsiniz.


0 Yorum
Yorum Yaz