Dişlerde Görülen Beyaz Lekeler
Dişlerde beyaz leke söz konusu olduğunda ciddi bir florür alımının gündeme geldiği bilinmektedir. Bu yüzden tedavi gerekir.
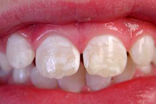
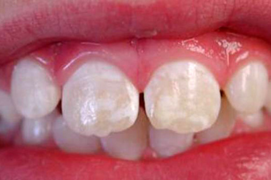
Dişlerde beyaz leke görülmesi birçok diş problemine neden olabilir. Bu işaret, her şeyden önce, diş elemanlarının oluşumu ve gelişimi sürecinde bu tür durumlar ortaya çıktığında kendini gösterir. Yaşamın ilk birkaç yılında, süt dişini etkileyen travmatik bir olay, çene kemiğinde gelişen kalıcı diş tomurcuğunu etkileyebilir. Bu nedenle, hasarın boyutuna bağlı olarak, kalıcı dişlerde beyazımsı lekeler veya kuronda deformasyonlar görülebilir.
Odontogenez sırasında yetişkinlerde ve çocuklarda aşırı florür diş florozuna yol açabilir. Bu arka plana karşı, tek bir veya birkaç diş üzerindeki beyaz lekeler zar zor farkedilebilir veya daha fazla fark edilebilir. Şiddetli vakalarda, florozis kahverengi lekelere neden olabilir ve diş çürümesi riskini artırabilir.
Çürük sürecinin ilk aşamaları da dişin üst tabakasının altındaki demineralize mine bölgesiyle çakışan beyaz ve kireçli bir leke olarak kendini gösterebilir. Ek olarak, odontogenez sırasında ortaya çıkan herhangi bir uzun süreli ateşli hastalık, mine üzerinde kalıcı bir kireçli nokta veya diş sürmesinden sonra görülebilen basit beyaz bir renk değişikliği oluşturabilir.

Dişlerdeki Beyaz Noktaların Olası Nedenleri
Koyu renkle vurgulanan tipik hastalık, durum ve rahatsızlıklardır. İlgilendiğiniz patolojiye tıklayarak, kökenleri ve onu karakterize eden semptomlar hakkında daha fazla bilgi okuyabilirsiniz. Dişlerdeki beyaz noktalar, sistematik veya genetik bir hastalığın bir belirtisi olabilir.
Doğal veya profesyonel çözümlerle beyaz diş lekelerinden kurtulmanın birkaç yöntemi vardır. Bu, sorunun ciddiyetine bağlıdır. Lekelerin yoğunluğunu yatıştırmaya yardımcı olabilecek etkili doğal çözümler vardır. Ancak profesyonel ilaçlarla karşılaştırıldığında sonuç asla tamamen tatmin edici olmayacaktır.
Günümüzde büyükşehirlerde toplanan nufus, belirli hastalıkların toplum içerisinde görülme sıklığıda arttırmış durumdadır. Bu durum çocukluk döneminde antibiyotik kulanımı artmış göstermiş ve diş üzerinde leke oluşumlarına sebep olmaktadır.
Dişlerinizde Beyaz Lekelerin Önlenmesi
Dişlerinizi düzenli olarak fırçalamak ve diş ipi kullanmak, ağzınızı göz damlası ile çalkalamak dişleri lekesiz tutmanın en iyi ve en doğal çözümlerindendir. Aşağıdaki tedbirleri alarak dişlerinizdeki lekeleri önleyebilirsiniz:
- • Diş macununun florür içeriğine dikkat edin
- • Dişlerinizi her gün, sabah, akşam ve her yemekten sonra temizleyin
- • Gargara kullanın
- • Her zaman diş ipi kullanın
Kişi ileri yaşlarda halen beyaz lekelerden kurtulamamış ve estetik olarak rahatsız oluyurlar ise Lamine diş uygulaması ile gülüş tasarımı yapılabilmektedir. Dişlerde beyaz lekeler belirdiğinde, kontrol için diş hekimine gitmeniz her zaman tavsiye edilir. Detaylı bilgi için diş hekimi önerisi ve tavsiyelerine dikkate alınmasını önermekteyiz.


0 Yorum
Yorum Yaz